Адрес клиники
г. Новороссийск, Анапское шоссе, 15Д
+7 (861) 205-00-07
+7 (861) 205-00-07
Заказать звонок
Услуги
Врачи
Отзывы
Прайс-лист
Портфолио
Блог
Контакты
Записаться на прием
Пациентам
Наши врачи
Контакты
Документы по приказу
Портфолио
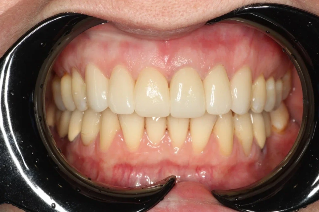
Ортопедия
Ортопедическое лечение
Ортопедическое лечение
Увеличить
Увеличить
Записаться онлайн
Согласен на обработку
перс.данных
*
Отправка...
позвоните мне
Записаться на телефону
+7 (861) 205-00-07
перезвоним в течение 10 минут
Вступайте и пишите в группу
Наш сайт использует cookie. Продолжая им пользоваться вы соглашаетесь со всеми правилами проекта.
Согласен